深圳新闻网2025年5月21日讯(记者 董非 通讯员 覃梦莹 陈杰)连续15天熬夜喝酒,深圳35岁设计师董先生(化名)把脑子喝“坏”了!近日,因出现幻听、意识模糊、记忆力下降和视物模糊等症状,董先生前往南方科技大学医院就诊,确诊为可逆性胼胝体压部综合征。经神经内科白春艳主任医师团队治疗后,目前董先生已基本恢复患病前水平,顺利出院。
连喝半月大酒,每天只睡两三小时
4月份,董先生回湛江老家参加婚礼,平时很少喝酒的他,竟然大喝起来。从4月15日到4月29日,董先生由于参加婚礼、和老同学聚会,不断饮用鸡尾酒、白酒、啤酒,时常不同品种混饮,加上这期间经常熬夜到凌晨,每天只睡两三个小时,董先生的身体已经严重透支。
即便已经出现双手发抖、走路摇晃等状况,董先生依然强撑硬喝。甚至由于睡不着,他还试图饮酒助眠,有时更导致彻夜无眠。董先生本以为这些身体异常只是因为醉酒,不太在意,不料回到深圳后加重为意识模糊、口齿不清、记忆力下降和视物模糊。
董先生的太太对此非常担心,当晚带着他来到了南方科技大学医院急诊,医生的建议是住院仔细检查。可董先生听到要住院,“连夜逃走”回了家。回家后的董先生又是一夜未眠。
第二天就是五一假期,董先生原本打算和家人出去游玩,没想到却开始出现幻听:听到有人敲门,耳朵里有杂音,还能听到熟悉的人讲话。董先生只好再次就医。
左右脑连接物水肿,大脑信息“堵塞”引发“故障”
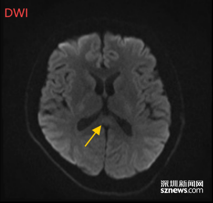
董先生再次来到南科大医院,入神经内科住院治疗。经过头部磁共振平扫、弥散、增强影像等检查,医生诊断,董先生得了比较少见的病症:可逆性胼胝体压部综合征。

(董先生的5月2日影像结果显示,胼胝体压部发生病变)
据神经内科白春艳主任医师介绍,可逆性胼胝体压部综合征以胼胝体压部短暂性病变为特征,患者可能表现为头痛、意识障碍、精神行为异常、癫痫发作等相关症状。
如果把大脑比作一座城市,胼胝体就是连接左右脑的“跨海大桥”,而胼胝体压部正是桥上的“核心枢纽”。当它因酒精、熬夜或感染“肿了”,大脑信号就会“堵车”,引发一系列“故障”。
白春艳主任医师根据董先生的症状,结合自己丰富的经验,果断地为董先生进行紧急治疗,包括补充大剂量B族维生素(尤其是维生素B1)、抗病毒、改善精神症状及睡眠障碍。
“给患者补充大量B族维生素,是为了给胼胝体"消肿"。”白春艳主任解释。
“董先生的大脑不堪重负,我们给他进行了‘关机重启’”。在镇静剂的作用下,董先生入院后的前两天基本除了吃饭、上厕所外,都处于睡觉状态,大脑得到了充分休息。
多管齐下的治疗让董先生恢复很快,入院4天后,董先生的不适感消失,神志完全恢复,讲话正常,没有幻觉和视物不清;入院5天,丢失的记忆又找了回来(入院时的董先生失去了前面几天的记忆)。

(董先生的5月9日影像结果显示,胼胝体压部病变好转)
“找回记忆”的董先生告诉医生,4月28日自己曾出现过咳嗽、咽喉痛等感冒症状,只是自服了一点感冒药。因此,董先生的病症还可能是病毒感染引起的,幸好医生已及时进行了抗病毒治疗。
经过治疗,董先生出院时手不抖,走路不晃了,记忆力和计算力也回到患病前的水平。
医生提醒:“熬夜+喝酒”是“暴击组合”
南方科技大学医院神经内科主任医师白春艳,长期从事认知障碍方面疾病的临床诊疗和基础研究。在脑血管病、神经变性病、头痛及神经系统炎症、周围神经及肌肉病方面积累了丰富的临床经验。

(白春艳主任在门诊出诊)
白春艳指出,可逆性胼胝体压部综合征这种病“来得猛,去得快”,但关键是早发现、早干预!
“熬夜+喝酒”简直是“暴击组合”,肝、肾、胃连夜加班,身体负荷加大;抵抗力崩盘,病毒细菌趁机偷袭,感冒发烧找上门;短期内可能引发急性不适,长期则增加慢性病风险。
医生提醒广大市民,酗酒、熬夜、病毒感染、代谢异常,这些都是可逆性胼胝体压部综合征的高危诱因。如果熬夜喝酒后出现手抖、走路不稳、幻视幻听、视物模糊、意识模糊、言语不清等症状,一定要尽快就医,以免耽误病情。